CIRURGIAS
Cirurgias que realizamos
Cirurgia para correção de varizes pela técnica de laser
Um procedimento minimamente invasivo, utilizando energia laser para fechar as veias afetadas. Essa abordagem oferece uma recuperação mais rápida, menor risco de complicações e melhores resultados estéticos em comparação com cirurgias tradicionais de varizes.
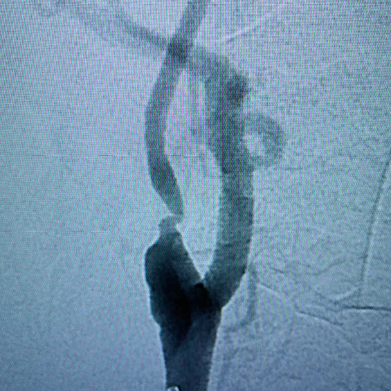
Cirurgia endovascular para doenças arteriais
Procedimentos minimamente invasivos que revolucionaram o campo da cirurgia vascular, proporcionando tratamento para doenças arteriais, como a Doença Arterial Periférica (DAP) e aneurismas. Essas técnicas oferecem benefícios significativos em relação às abordagens cirúrgicas tradicionais.
Embolização de miomas
A embolização de miomas uterinos é um procedimento minimamente invasivo usado para tratar os miomas uterinos, que são tumores benignos que se desenvolvem no útero. As indicações para a embolização de miomas uterinos podem variar dependendo do caso e das necessidades individuais da paciente
Fístulas arterio-venosas
O tratamento das fístulas arteriovenosas pode variar consideravelmente dependendo da localização, tamanho, sintomas associados e características individuais do paciente. Em alguns casos, pode ser necessário intervir cirurgicamente de forma imediata para fechar, reparar ou corrigir a fístula.
Cateteres para quimioterapia
Os cateteres para quimioterapia são dispositivos importantes utilizados para facilitar a administração de medicamentos quimioterápicos. Eles proporcionam maior conforto aos pacientes, permitindo um acesso vascular contínuo e reduzindo o desconforto associado a punções repetidas.
Tratamento de varizes com a técnica de espuma densa
A técnica de espuma densa é um procedimento minimamente invasivo e altamente eficaz para o tratamento de varizes e veias de maior calibre. Uma alternativa segura e eficiente à cirurgia tradicional.
Tratamento de feridas complexas
O tratamento de feridas complexas de origem vascular envolve técnicas especializadas para promover a cicatrização e melhorar a condição das feridas causadas por problemas de circulação sanguínea. Essas feridas podem ser resultado de condições como úlceras venosas, úlceras arteriais, úlceras por pressão ou lesões isquêmicas.
ANTES E DEPOIS
Desobstrução de Artérias Carótidas

DÚVIDAS
Perguntas Frequentes
Um cirurgião vascular e endovascular é um médico especializado no diagnóstico e tratamento de doenças que afetam o sistema circulatório, incluindo artérias, veias e vasos linfáticos, sendo especializado em cirurgia aberta e procedimentos minimamente invasivos, como a cirurgia endovascular.
O tempo de recuperação de uma cirurgia vascular ou endovascular pode variar dependendo do tipo de procedimento realizado, da gravidade da condição subjacente e das características individuais do paciente. Em geral, pode levar de algumas semanas a vários meses para uma recuperação completa
CONTATO
Nosso Contato
Mogi das Cruzes - São Paulo
- (11) 4799-1121
- (11) 4799-0440
- Clínica Cadiva
- R. Alfredo Cardoso 18- Mogi Das Cruzes - SP